
Nuestros servicios

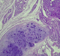
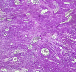
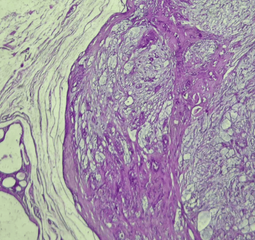
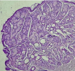
Biopsia
Los tumores no son algo normal, desde una simple verruguita hasta una masa gigante en un órgano interno, todos deben ser estudiados y tratados. Para esto se realizan las biopsias

Necropsias
Las necropsias son un proceso investigativo necesario, que no solo da luz sobre la causa de muerte de un animal sino que ayuda a proteger al resto de su familia






Lista de precios
Servicios
Biopsias pequeñas
Estas incluyen muestras de piel, órganos de razas pequeñas, porciones de órganos. Muestras de 6cms o menos
Biopsias grandes
Estas incluyen masas de más de 6 cms y órganos completos. También cadenas mamarias
Biopsias Endoscópicas
Estas incluyen muestras obtenidas por endoscopía. Muestras gástricas, de intestino, de esófago, de hígado, de páncreas. Muestras de menos de 0.5 cms
Necropsia pequeña
Incluye examen macroscópico y microscópico, de animales de menos de 10 kgs.
Necropsia Mediana
Incluye examen macroscópico y microscópico, de animales de 10 - 20 kgs.
Necropsia grande
Incluye examen macroscópico y microscópico, de animales de mas de 20 kgs.
Preguntas frecuentes
- Todas las preguntas
- Preguntas de pago
- Preguntas sobre tiempo
- Necropsias Legales
¿Cómo me registro para ser cliente de Patovet?
Puede ir a la página de muestras que se encuentra en la parte superior y llenar el formulario de cliente con los datos de su clínica, descarga el formulario de muestra y puede contactarnos via Whatsapp para recoger la muestra con su formulario, así de sencillo.
¿Cómo puedo pagar por mis muestras?
Por el momento recibimos efectivo o transferencia bancaria, estamos trabajando para reinstaurar la opción de un link de pago con tarjeta de crédito
¿Aceptan tarjetas de crédito?
Por el momento recibimos efectivo o transferencia bancaria, estamos trabajando para reinstaurar la opción de un link de pago con tarjeta de crédito
¿Cuánto tiempo se toma los resultados de necropsia?
Patovet trabaja para tener sus resultados a la mayor brevedad posible, pero el tiempo estándar para necropsias es de 7-10 días laborables
¿Cuánto tiempo se toma los resultados de la biopsia?
Patovet trabaja para tener sus resultados a la mayor brevedad posible, pero el tiempo estándar para biopsias es de 5-7 días laborables
¿Realizan necropsias para nivel legal?
Sí, estas deben ser a traves de una clínica veterinaria, y necesitamos acceso al historial clínico del paciente y hablar con su médico de cabecera. En caso de necropsias legales el responsable del paciente debe de firmar un consentimiento aprobando dicha comunicación entre Patovet y los médicos encargados.
